Take a look at some of our amazing smile results. Don’t just take our word for it – please see some of our case studies below. They show just what can be achieved here at Burgess Hill Dental Care.
Contact us today

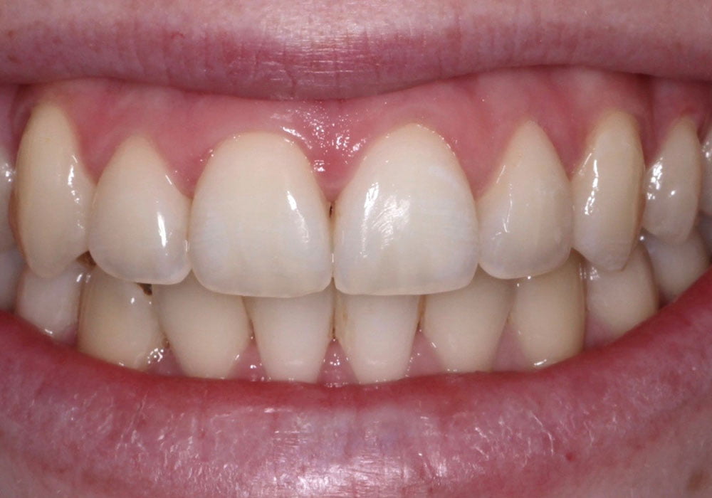
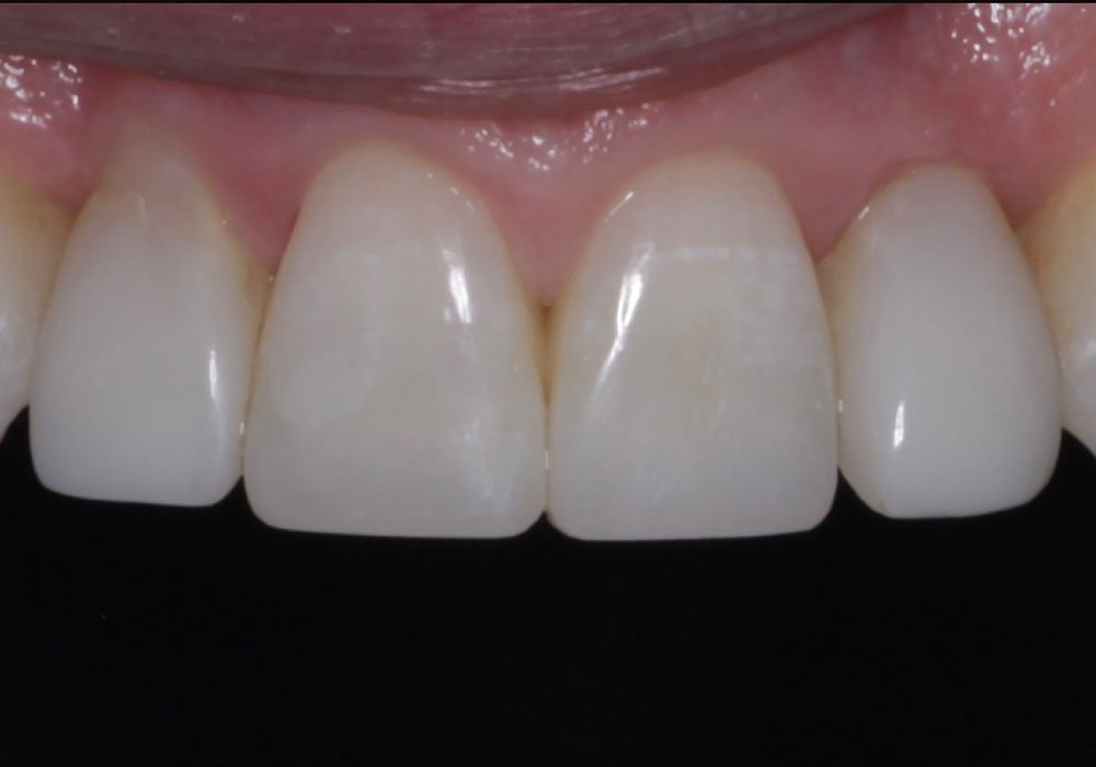
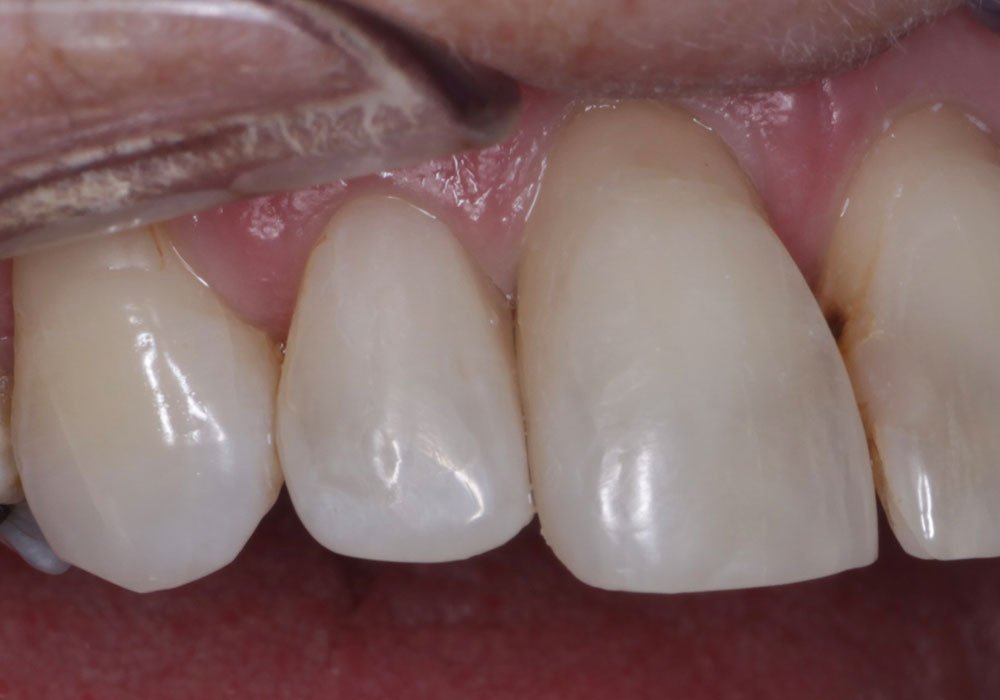
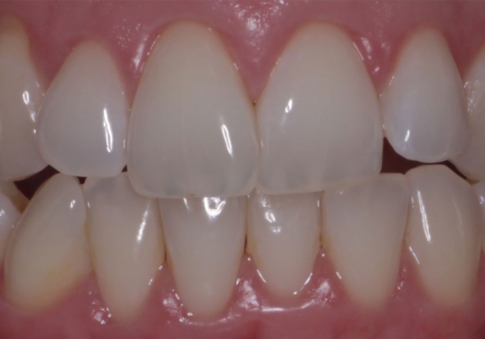
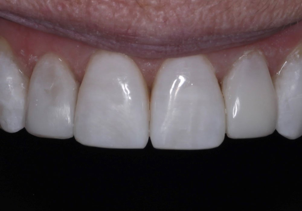
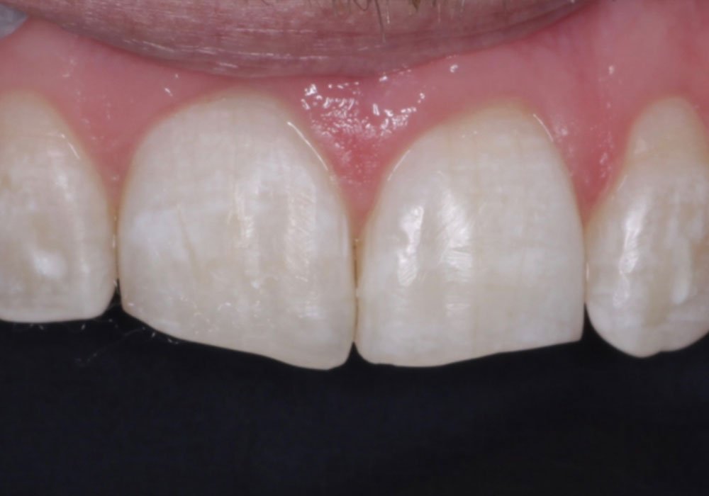
Case 1

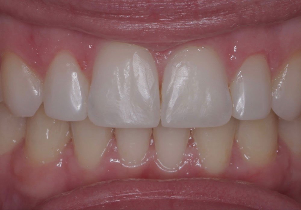
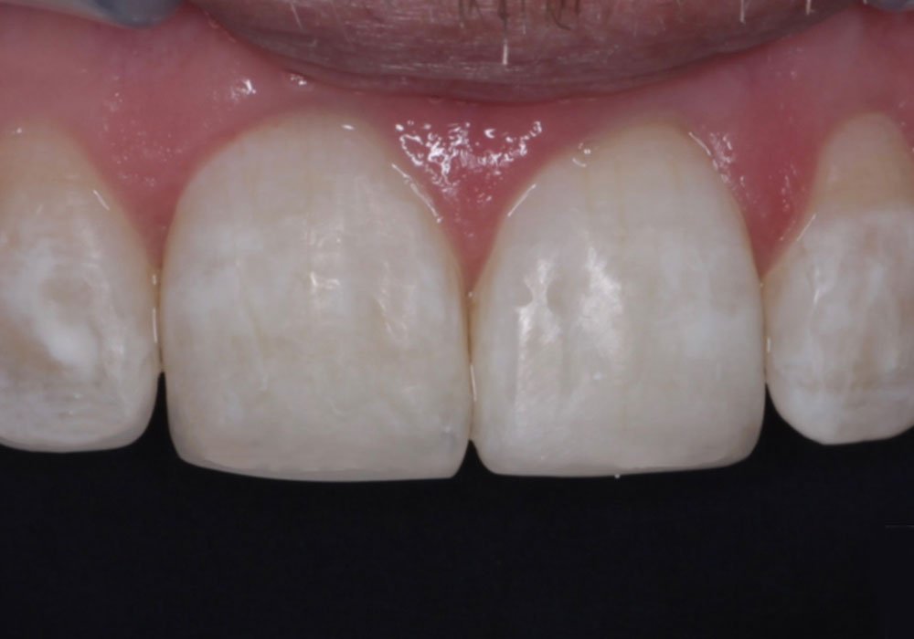
Case 2

Case 3

Case 4

Case 5

Case 6

Case 1

Case 2

Case 1

Case 2

Case 3

Case 1

Case 2

Case 3

Case 1

Case 2

Case 3
A “mock up” is a way to show you how any proposed cosmetic changes either with composite bonding or porcelain could look in your mouth. It is temporary and therefore totally and quickly reversible. It is the most accurate and useful technique for showing you what could be possible.
It is also a very useful tool for communicating with our technicians. If laboratory constructed porcelain work is being considered, it is crucial as far as possible you, your dentist, and the technician have the same vision of your new smile. Tooth-coloured composite filling material is applied over the existing teeth. It’s an excellent 3D way to visualise the dramatic changes that aesthetic dentistry can offer.
Contact us today to book your dental appointment or mock up.

Want to learn more? Book a consultation today
Book a consultationWe’re here to help if you need us. Get in touch today - we’re looking forward to hearing from you!
Book your next appointment today
